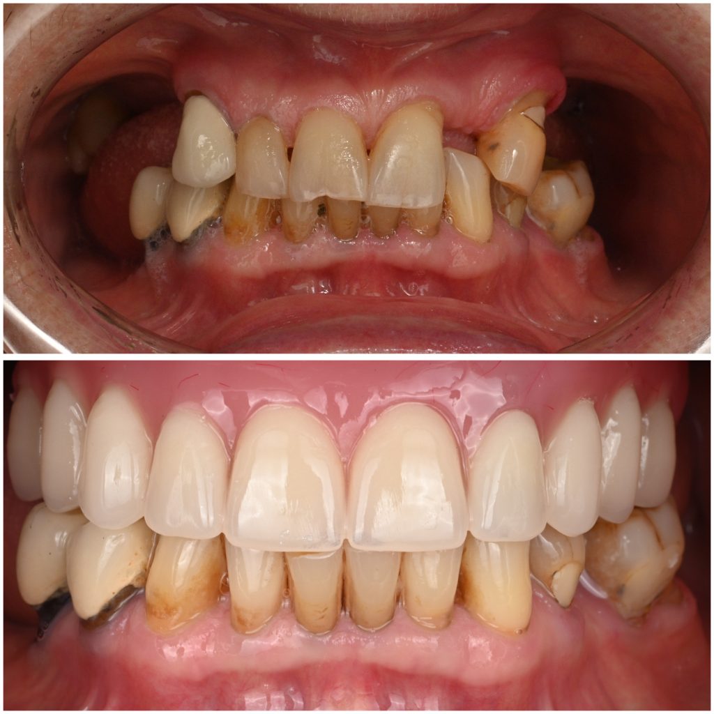
Имплантация All-on-4 (Все на 4)
Имплантация All-on-4 в нашей клинике в Москве — это современная методика восстановления всех зубов на одной челюсти с опорой всего на четыре импланта. Технология позволяет получить несъёмные зубы даже при полном отсутствии зубов и выраженной атрофии костной ткани.
этапы лечения

Консультация
и компьютерная томография

Удаление зубов
(при необходимости)

Установка 4 имплантов

Фиксация временного протеза

Установка постоянной конструкции
Что такое All-on-4?
Метод «Все на 4» предполагает:
- установку 4 имплантов в челюсть;
- фиксацию на них полного несъёмного протеза.
Два импланта устанавливаются вертикально, а два — под углом. Такое расположение позволяет максимально использовать имеющуюся кость и часто избежать костной пластики.
Кому подходит метод?
Имплантация All-on-4 рекомендуется при:
1. полном отсутствии зубов;
2. разрушенных зубах, не подлежащих восстановлению;
3. выраженной атрофии кости;
4. нежелании носить съёмные протезы.
Метод позволяет быстро вернуть эстетику и жевательную функцию.
Преимущества All-on-4
- Восстановление всей челюсти на 4 имплантах..
- Возможность фиксации временного протеза в день операции (по показаниям).
- Отсутствие съёмной конструкции.
- Более короткие сроки лечения.
- Экономичность по сравнению с установкой большого количества имплантов.
Сколько стоит All-on-4?
Цена имплантации All-on-4 зависит от:
- системы имплантов;
- типа временного и постоянного протеза;
- необходимости удаления зубов;
- дополнительных процедур.
Если вас интересует, сколько стоит All-on-4, точную стоимость можно узнать после диагностики и составления плана лечения. В нашей клинике цена фиксируется до начала лечения и остаётся неизменной.
наши стоматологи-хирурги
Хачатрян Тигран Самвелович
к.м.н., челюстно-лицевой хирург, стоматолог-хирург, стоматолог-имплантолог
Мамаев Алихан Кемалович
Стоматолог-хирург, имплантолог
Мы на карте
Приходите к нам! Мы очень вас ждём 🙂
ВК49865

